warszawska mumia

Mumia egipska z Warszawy nie była w ciąży - w jej miednicy znajdują się... pakunki

Nie płód, ale kilka zawiniątek znajduje się w miednicy mumii kobiety prezentowanej w Muzeum Narodowym w Warszawie - dowodzi zespół naukowców. W jednym z pakunków umieszczono zapewne zmumifikowany organ. Rzekoma ciąża to efekt komputerowej iluzji i błędów interpretacji - uważają badacze.

W kwietniu 2021 r. część zespołu Warszawskiego Projektu Interdyscyplinarnych Badań Mumii (Warsaw Mummy Project - WMP) opublikowała artykuł w "Journal of Archaeological Science", z którego wynika, że mumia kobiety należąca do Uniwersytetu Warszawskiego i eksponowana w Muzeum Narodowym w Warszawie, skrywa w swoim wnętrzu 7-miesięczny płód. Do takiego wniosku autorzy publikacji doszli na podstawie analizy obrazów uzyskanych za pomocą RTG i tomografu komputerowego. Nie wszyscy badacze jednak zgadzali się z tym twierdzeniem. Podała je w wątpliwość m.in. ekspertka radiologii zajmująca się mumiami - prof. Sahar Saleem.

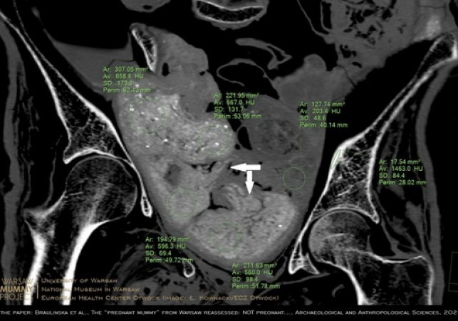
W lipcu 2022 ukazała się bogato ilustrowana publikacja w "Archeological and Anthropological Sciences" (DOI: 10.1007/s12520-022-01598-z), w której inny zespół badaczy z WMP dowodzi, że zmumifikowana kobieta z pewnością nie zawiera w sobie płodu. Świadczą o tym przede wszystkim obrazy precyzyjnie zrekonstruowanej zawartości miednicy oraz wyniki badań porównawczych starożytnych płodów egipskich.

"W naszym artykule znajduje się szereg spektakularnych obrazów oraz linków wiodących do filmów przedstawiających wnętrze starożytnej mumii, w tym wykonanych za pomocą technik holograficznych, będących najnowszym trendem w medycynie" - powiedziała PAP główna autorka publikacji - bioarcheolog, współzałożycielka WMP - Kamila Braulińska z Uniwersytetu Warszawskiego.

Naukowcy ustalili, że w miednicy wcale nie ma płodu - jak sugerowali autorzy doniesienia z 2021 r. - ale cztery pakunki.

"Umieścili je tam starożytni balsamiści. W zawiniątkach znajduje się najprawdopodobniej co najmniej jeden zmumifikowany organ zmarłej. To znana praktyka w starożytnym Egipcie" - podkreśliła Braulińska. W pozostałych być może są fragmenty ciała lub inne pozostałości po procesie mumifikacji. Jest też inna opcja - balsamiści umieszczali w mumiach zawiniątka po to, aby utrzymać kształt ciała po procesie mumifikacji.

Egipcjanie zaobserwowali, że ciało ulegało łatwiejszemu rozkładowi, gdy nie wyjmowano organów wewnętrznych, więc usuwano je w procesie mumifikacji. W zależności od epoki różnie z nimi postępowano - czasami umieszczano je w naczyniach i ustawiano w pobliżu mumii, a czasami mumifikowano je osobno – i umieszczano z powrotem wewnątrz ciała.

To właśnie trzy z czterech pakunków w miednicy poprzedni zespół zinterpretował jako płód. O tym, że kobieta nie była w ciąży, świadczą też ilościowe pomiary gęstości radiologicznych, a także wzajemne relacje geometryczne pakunków oraz porównawcza charakterystyka materiałów znajdujących się wewnątrz mumii - argumentują badacze w nowo opublikowanym artykule.

Braulińska dodała, że nie jest to pierwsza mumia z pakunkami tego typu. Czasem podobne obiekty znajdują się w innych rejonach ciała, podobne zawiniątka lub substancje znajdowane bywają w miednicy.

W kwestii ciąży, z częścią zespołu WMP nie zgadzała się nie tylko jego współzałożycielka, Kamila Braulińska. Również inni naukowcy wyrażali swoje wątpliwości, w tym radiolog dr Łukasz Kownacki, który wykonał badanie tomograficzne mumii i utworzył jej pierwsze trójwymiarowe obrazy.

Z czego wynikał błąd interpretacyjny i wnioski poprzedniego zespołu? Według autorów nowego artykułu poprzednicy nie skonsultowali się przed publikacją ze specjalistą radiologii, chociaż wnioski opierano na medycznych obrazach z RTG i tomografii komputerowej. "Informacji o takiej konsultacji nie było w żadnym artykule naukowym ani w wywiadach i mało prawdopodobne, by którykolwiek radiolog poparł taką interpretację" - mówi dr Kownacki.

Zdaniem autorów najnowszej publikacji rzekome odkrycie ciąży u mumii wynikło po prostu ze złudzenia, u którego podstaw leży zjawisko pareidolii, czyli naturalnego dążenia człowieka do postrzegania znajomych obiektów w przypadkowych kształtach.

"Zjawisko to, w połączeniu z brakiem konsultacji stawianych teorii ze specjalistą radiologii, przyniosło niestety jedynie efekt globalnej sensacji, a nie rzetelnego opracowania naukowego. Nasz artykuł dowodzi, jak ważna w badaniach starożytnych mumii egipskich jest współpraca ze specjalistami z różnych dziedzin oraz jak racjonalnie i krytycznie należy podchodzić do analiz wyników, odkładając na dalszy plan iluzje. Ważny jest także szacunek należny ludzkim szczątkom" - zaznacza Braulińska.

Autorzy nowego artykułu podkreślają, że wykorzystali te same dane uzyskane metodą tomografii komputerowej, co poprzedni zespół oraz m.in. to samo oprogramowanie.

"Wykazaliśmy w ten sposób, jak bardzo analizy efektów trójwymiarowych i ich interpretacja zależą od umiejętności użytkownika oprogramowania, który może osiągnąć doskonałe efekty wizualizacji również nie będąc radiologiem" - powiedział PAP dr Kownacki.

Na potrzeby najnowszego opracowania wykorzystano możliwości analiz radiologicznych dostępne w Zakładzie Diagnostyki Obrazowej Europejskiego Centrum Zdrowia Otwock, m.in. unikalne medyczne oprogramowanie holograficzne dla systemów tzw. rzeczywistości mieszanej (ang. Mixed Reality), jak również radiologiczne rozwiązania serwerowe.

Autorami publikacji podważającej ciążę u mumii, oprócz Kamili Braulińskiej, są Łukasz Kownacki, Dorota Ignatowicz-Woźniakowska (Główny Konserwator MNW i koordynator WMP ze strony Muzeum Narodowego w Warszawie) oraz Maria Kurpik (Starszy Konserwator MNW, specjalista w zakresie dokumentacji konserwatorskiej w tym obrazowania dzieł sztuki).

Mumia trafiła do Polski w XIX wieku. Należy do UW, ale obecnie znajduje się w depozycie w Galerii Sztuki Starożytnej w Muzeum Narodowym w Warszawie.(PAP)

Szymon Zdziebłowski

szz/ zan/

Źródło: www.naukawpolsce.pap.pl


Komentarz jako:

Komentarz (0)